时间:2023-04-03 10:40:42 来源:互联网作者:zml 浏览量:30245
甲状舌管囊肿是颈部常见的先天性囊肿,是由甲状舌管残留上皮形成的囊肿。典型表现为颈中线甲状舌膜水平肿块,靠近舌骨。发病部位多位于舌骨中线、舌骨上方或舌骨略下方。在显微镜下,粘液腺和甲状腺滤泡常见于囊肿内衬假复层纤毛(呼吸道上皮)或鳞状上皮。
由于囊肿感染后与周围组织粘连,解剖层次不清,增加了治疗难度,也增加了复发风险,所以甲状舌管囊肿确诊后应尽量在感染发生前接受治疗(手术或硬化治疗)。
超声波引导下的硬化治疗是在实时超声波引导下,通过皮肤穿刺,将非常细的针放入囊腔,完全取出囊液,然后注入硬化剂(聚多卡醇/聚桂醇),使囊肿壁内的上皮细胞脱水、变性、凝固坏死,囊肿闭合消失,不再分泌囊液。

北京儿童医院儿童介入超声团队和北京儿童医院顺义妇儿医院介入诊疗科的医生为了更好地了解甲状舌管囊肿和超声引导经皮甲状舌管囊肿硬化治疗,对“小甲”进行了“采访”。让我们来看看。
大家好,我是“小甲”,学名是“甲状舌管囊肿”。我喜欢呆在孩子的脖子上,尤其是1岁左右的孩子。我会在脖子上吐泡泡。从外面看,这只是一个小鼓包。其实我是在长大,孩子长大,我也长大。
但是,我也会生病。
我会变得又红又肿,发烧又疼...这个时候,医生需要大量的修复!
小甲同学,你是什么时候跑到孩子脖子上去的?
嗯,太早了。
其实孩子还在妈妈肚子里的时候,我就开始长大了。
胚胎第六周,宝宝的甲状腺始基从口腔底部沿中线向下移动到颈部,形成一条长长的细管,叫做甲状舌管,末端发育成我弟弟的甲状腺。
我很好玩。
第8-10周就悄悄溜走了,但是舌头根部后面有个洞(舌盲孔),说明我曾经“来这里旅游”。
然而,有些孩子脖子上的管子太有趣了。

我舍不得离开,就留下了。
我堵住管道的两端,留在里面。
这根管子很长。
从舌骨到甲状腺,我会停在路上的任何地方,但我最喜欢的地方是舌骨区。
你们肚子里装的是什么?
通常里面有高蛋白的东西,很粘,可以拉成丝状;有时候我会“吃坏肚子”,里面全是脏水。
医生大声说这叫感染。
如何揭开你庐山的真面目?
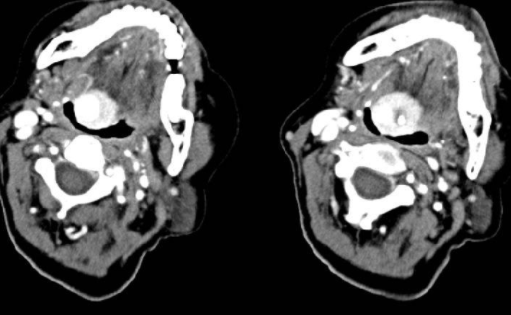
哈哈,我不会告诉大多数人。这是医生的绝活。我听说他们可以做各种设备(检查)、超声波、CT和MRI...我最喜欢做超声波检查。
和蔼的医生、叔叔和阿姨,帅气漂亮的医生、大哥哥和姐姐,把滑溜溜的东西涂在脖子上,像果冻一样,一点也不疼,有时候很舒服。
医生拍了我各种姿势的漂亮照片,他们一眼就知道我在哪里。
你们最害怕的是什么?
我最害怕的是做手术。当我听到他们称之为Sistrunk手术时,我非常难过。
我必须把我的老巢放在一个锅里,把我周围的一些邻居退休,把老板切在脖子上,包括囊肿、舌骨中间三分之一和舌盲孔周围的舌根组织。
我最难过的是,孩子的脖子有时会留下疤痕。
呜呜呜,我不想要。我也想和孩子们一起穿漂浮的衣服。哼,不要伤疤!
她们用一根非常细的针把我肚子里的坏水抽干净,然后放一些神奇的药水进去。
她们说东西叫聚多卡醇,我不懂,但是我很喜欢泡泡。做完之后,我从一个小胖子变得很苗条,有时候会变成闪电。
以上是小编准备的全部内容,希望对你有所帮助!
猜你喜欢
本文网址:http://bighealthjk.com/jkxz/7790.html
声明:本站原创/投稿文章所有权归大健康新闻网所有,转载务必注明来源;文章仅代表原作者观点,不代表大健康新闻网立场;如有侵权、违规,可直接反馈本站,我们将会作删除处理。